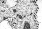
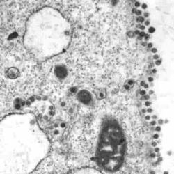
Νέος Κοροναϊός (nCoV-EMC)

 

Πρόκειται για ένα νέο στέλεχος κοροναϊού που διαφέρει από τον SARS-CoV, τον κοροναϊό που προκάλεσε  την επιδημία SARS το 2003, αλλά και από τους υπόλοιπους κοροναϊούς που έχουν απομονωθεί μέχρι σήμερα από τον άνθρωπο. Ο νέος κοροναϊός (nCoV-EMC) απομονώθηκε για πρώτη φορά από ασθενείς με σοβαρό οξύ αναπνευστικό σύνδρομο, στην Αραβική Χερσόνησο, το Σεπτέμβριο του 2012.
Λόγω του περιορισμένου μέχρι σήμερα αριθμού των κρουσμάτων, δεν υπάρχουν ακόμα αρκετές πληροφορίες όσον αφορά την πιθανή πηγή έκθεσης, τον τρόπο μετάδοσης, το κλινικό φάσμα της λοίμωξης και τη διάρκεια της περιόδου επώασης.

Με βάση την υπάρχουσα κλινική εμπειρία,  η λοίμωξη από τον νέο κοροναϊό εκδηλώνεται συνήθως ως πνευμονία, με εμφάνιση οξείας, σοβαρής νόσου του αναπνευστικού, με πυρετό, βήχα, δύσπνοια και αναπνευστική δυσχέρεια. Σημειώνεται ότι τα παραπάνω συμπτώματα  και σημεία της νόσου, βασίζονται στη μελέτη περιορισμένου αριθμού κρουσμάτων και ενδέχεται να  αλλάξουν όταν θα είναι διαθέσιμες περισσότερες πληροφορίες. Σε αρκετές περιπτώσεις η λοίμωξη έχει οδηγήσει σε εμφάνιση επιλοκών (Οξύ Σύνδρομο Αναπνευστικής Δυσχέρειας (ARDS), νεφρική ανεπάρκεια, πολυοργανική ανεπάρκεια, διαταραχές της πήξης,  περικαρδίτιδα) ή και θάνατο.

Ο ακριβής τρόπος μετάδοσης δεν είναι ακόμα γνωστός. Υπάρχουν πάντως σαφείς ενδείξεις περιορισμένης μετάδοσης από άνθρωπο σε άνθρωπο. Συνιστώνται  τα μέτρα προφύλαξης που ισχύουν και για τις άλλες ιογενείς λοιμώξεις του αναπνευστικού, δηλαδή η αποφυγή στενής επαφής με άτομο που παρουσιάζει τα συμπτώματα της νόσου (βήχας, φτέρνισμα) και έχει πρόσφατα ταξιδέψει σε περιοχή υψηλού κινδύνου. Σε περιπτώσεις χειρισμών που ενέχουν αυξημένο κίνδυνο δημιουργίας αερολύματος, στις βασικές προφυλάξεις και προφυλάξεις σταγονιδίων προστίθενται και προφυλάξεις για πρόληψη μετάδοσης αερογενώς μεταδιδόμενου νοσήματος.

new coronavirus